Lompat ke konten Lompat ke sidebar Lompat ke footer
close

Mal Aux Dents De Devant

Mal Aux Dents De Devant

Plein d'autres conseils de santé naturelle dans ma lettre privée. La cause doit être recherchée et traitée rapidement :

Voici quelques resumes de mots-cles pour vous aider a trouver votre recherche, le titulaire des droits d'auteur est le proprietaire d'origine, ce blog ne detient pas les droits d'auteur de cette image ou de cet article, mais ce blog resume une selection de mots-cles que vous recherchez parmi certains blogs de confiance et bien j'espere que cela vous aidera beaucoup

La carie étant la cause principale, mais l'abcès dentaire étant la première crainte. Il est souvent le signe d'une affection des dents ou des lorsque les douleurs sont dues à des caries ou à une parodontite et que ces affections ne sont pas soignées, elles peuvent entraîner une destruction. « j'ai plus mal aux dents qu'à l'âme », m'a dit récemment une personne près de moi, tenaillée la nuit par des crises d'anxiété, mais forcée de choisir entre les honoraires du dentiste et ceux du psychologue.

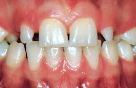
La Parodontite Une Inflammation Des Tissus Qui Entourent Les Dents
visitez l'article complet ici : https://www.passeportsante.net/fr/Actualites/Dossiers/DossierComplexe.aspx?doc=mal-aux-dents-cherchez-la-cause-la-parodontite-responsable-de-douleurs-aux-gencives
Vous souffrez probablement d'une pulpite aiguë. Mon copain a mal aux dents de devant depuis 3 jours et pourtant il a une parfaite dentition pas de carie dent blanchea quoi c du a votre avis?connaissez vous ce symptomemerci de vos réponses. Mal aux / de dents.

Il ne faut jamais oublier qu'une infection dentaire mal soignée peut avoir de graves conséquences sur l'ensemble de.

Dans la suite de cet article, nous allons vous énumérer les principales raisons pour lesquelles les dents peuvent nous faire mal. « j'ai plus mal aux dents qu'à l'âme », m'a dit récemment une personne près de moi, tenaillée la nuit par des crises d'anxiété, mais forcée de choisir entre les honoraires du dentiste et ceux du psychologue. Il ne faut jamais oublier qu'une infection dentaire mal soignée peut avoir de graves conséquences sur l'ensemble de.

Le mal aux dents, ou douleur dentaire, persistant signe l'atteinte de la dent ou de son environnement. Dans la suite de cet article, nous allons vous énumérer les principales raisons pour lesquelles les dents peuvent nous faire mal. Un mal de dents n'est pas anodin et même si les douleurs s'estompent, il finira par revenir.

La Parodontite Une Inflammation Des Tissus Qui Entourent Les Dents
visitez l'article complet ici : https://www.passeportsante.net/fr/Actualites/Dossiers/DossierComplexe.aspx?doc=mal-aux-dents-cherchez-la-cause-la-parodontite-responsable-de-douleurs-aux-gencives
Le mal de dent peut être passager et léger ou se transformer en une véritable rage de dent dans laquelle la douleur est pratiquement insupportable. Le mal de dents est très ennuyeux et est toujours symptomatique d'un problème complexe en place. Découvrez toutes les causes possibles, pour envisager le traitement adapté ainsi que les meilleurs moyens de prévention.

Dans la suite de cet article, nous allons vous énumérer les principales raisons pour lesquelles les dents peuvent nous faire mal.

Comment éviter ce tant redouté mal de dent ? Cela peut inclure des fissures de l'émail, des dégâts au niveau de la dent, des caries ou une infection. Comparez les expériences avec les médicaments pour mal aux dents.

Quelle que soit la source du problème, une visite chez le dentiste est obligatoire, sinon la situation ne fera qu'empirer avec le temps. Autrement, vous pourriez aussi avoir un problème de plombage qui commence à bouger. Et toute modification (mal faite) liée à cette dent peut avoir des conséquences sur d'autres dents, voire la mâchoire.

Sensibilite Et Mobilite Des Dents En Orthodontie Bucco
visitez l'article complet ici : https://www.orthodontisteenligne.com/sensibilite-mobilite-dents-pendant-lorthodontie/
La cause doit être recherchée et traitée rapidement : Le maux de dent ont ouvent baé ur de maladie si les maux de dents surviennent en raison de dents de sagesse, elles doivent généralement être retirées. Comparez les expériences avec les médicaments pour mal aux dents.

Souvent douloureuses, les douleurs dentaires ne sont pas toujours dues à une mauvaise hygiène dentaire.

Autrement, vous pourriez aussi avoir un problème de plombage qui commence à bouger. « j'ai plus mal aux dents qu'à l'âme », m'a dit récemment une personne près de moi, tenaillée la nuit par des crises d'anxiété, mais forcée de choisir entre les honoraires du dentiste et ceux du psychologue. Pourquoi j'ai mal aux dents ?

Posting Komentar untuk "Mal Aux Dents De Devant"